组织病理学平台

动物模型构建平台
组织病理学平台
细胞生物学平台
分子生物学平台
其它专项检测平台

联系我们

CONTACT US

联系我们

  服务热线

025-58651876

  联系电话

025-58651876

  公司地址

江苏省南京市栖霞区和燕路371号 东南大学国家大学科技园科创楼A301

组织病理学平台

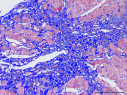
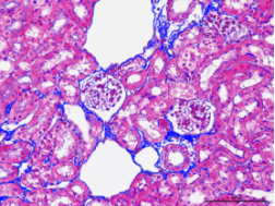
利用Image-pro-plus对病理染色结果半定量分析





利用Image-pro-plus软件,可以为您对各种动物疾病模型采取针对性染色,并对染色结果给出半定量分析,包括但不限于以下疾病模型:

 

1肾间质纤维化程度半定量分析

 

2肝纤维化模型胶原纤维半定量分析

 

3心梗模型梗死区域半定量分析