组织病理学平台

动物模型构建平台
组织病理学平台
细胞生物学平台
分子生物学平台
其它专项检测平台

联系我们

CONTACT US

联系我们

  服务热线

025-58651876

  联系电话

025-58651876

  公司地址

江苏省南京市栖霞区和燕路371号 东南大学国家大学科技园科创楼A301

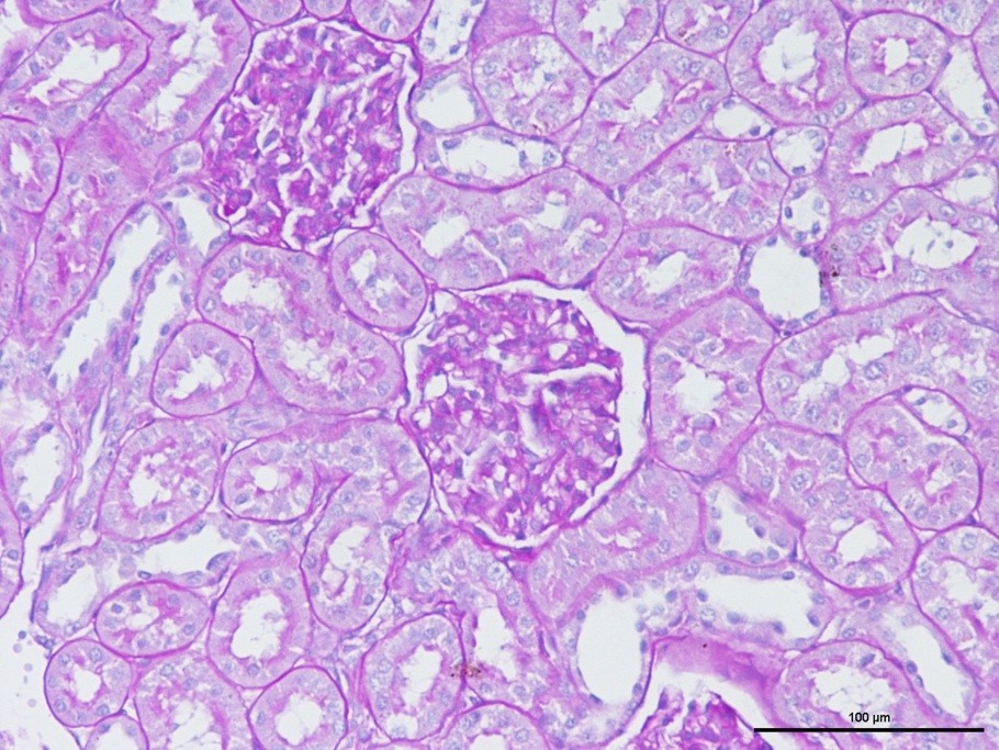
组织病理学平台

 

病理染色- PAS

关键词:病理切片  组织切片  PAS染色  病理组织切片  病理染色  

大鼠肾组织PAS染色效果

PAS染色利用高碘酸把糖类相邻两个碳上的羟基氧化成醛基,再用Schiff试剂和 醛基反应使呈现紫红色,显示糖原定位。
 
该染色方法可用于糖尿病肾病模型,用于显示肾小球病变中糖原沉积,基底膜增厚。